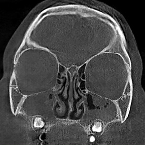
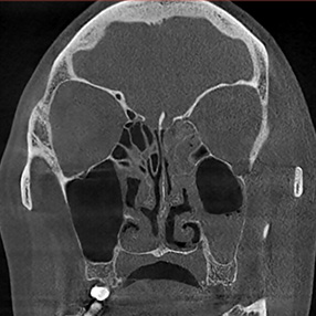
※ 축농증 수술 후 생길 수 있는 부작용으로는 출혈, 감염, 염증이 있을 수 있습니다.
본 사진은 의료기관에서 진료를 본 환자이고, 전후 사진 인물이 동일인이며,동일조건에서 촬영이 되었습니다.

대구광역시 남구 봉덕로 90, 3층(봉덕동)
  • 전화문의

    진료문의 및 진료관련 상담
    053-476-0077

  • 진료시간

    평일 09:00 ~ 12:30
    14:00 ~ 19:00
    토요일 09:00 ~ 13:00
    (점심시간 없음)
    ● 수요일 오후에는 수술로 인해
    외래진료가 없습니다.
    ※ 법정공휴일은 휴진,
    대체공휴일은 진료합니다.

  • 진료문의